Osteocondrosi è una malattia di livello mondiale perché colpisce persone in tutto il mondo (40-90%). Questa patologia nella maggior parte dei casi si verifica nelle persone in età matura, dopo i 30 anni. Il mal di schiena nella vita di tutti i giorni viene spesso attribuito a questa malattia. Nel nostro articolo esamineremo i sintomi dettagliati, scopriremo le cause e i metodi di trattamento dell'osteocondrosi. In medicina, questa malattia è definita una lesione del tessuto spinale di natura degenerativa-distrofica. L'osteocondrosi è accompagnata da lesioni dei dischi intervertebrali, delle superfici articolari, dei corpi vertebrali e dei legamenti. Di norma, con l'osteocondrosi, le ossa e i legamenti vengono colpiti per primi.
Ci sono diverse fasi nello sviluppo dell'osteocondrosi. Vediamoli più nel dettaglio:
- L'osteocondrosi nella fase iniziale assomiglia alla disidratazione del nucleo polposo, che provoca una diminuzione della posizione della vertebra. Per renderlo più chiaro al lettore, spieghiamo cos'è il nucleo polposo. Con questo termine medico si indica la parte interna del disco intervertebrale, che è rappresentata da componenti semifluide (fibre del tessuto connettivo) e gelatinose (condrina). Durante questo periodo, il paziente sperimenta crepe nell'anello fibroso.
- La fase successiva è strettamente correlata alla precedente: a causa del prolasso vertebrale, legamenti e muscoli cedono. Questa condizione provoca uno squilibrio motorio delle vertebre. Questo periodo è caratterizzato dalla spondilolistesi o, in termini semplici, dallo spostamento delle vertebre.
- Il terzo stadio di sviluppo dell'osteocondrosi è caratterizzato da manifestazioni più sorprendenti per una persona comune: sporgenze dei dischi intervertebrali (protrusione del loro contenuto) e artrosi.
- Lo stadio finale dell'osteocondrosi è associato agli osteofiti. Il nostro corpo, notando la “scioltezza” delle vertebre, cerca di riportare la colonna vertebrale alle sue funzioni originarie: di sostegno e di protezione. Per raggiungere questo obiettivo, sulla superficie delle vertebre compaiono escrescenze ossee chiamate osteofiti. Nello stesso periodo cresce il tessuto fibroso. Il risultato di questi processi è l'intrappolamento del segmento motorio della colonna vertebrale nel guscio.
L’osteocondrosi è una malattia multispecie. Esistono osteocondrosi delle regioni cervicale, toracica e lombosacrale, nonché un tipo comune di osteocondrosi. L'osteocondrosi dell'articolazione del ginocchio è diventata sempre più comune nella pratica medica.
Ragioni per lo sviluppo dell'osteocondrosi
Le ragioni per lo sviluppo di questa malattia sono numerose e non sono sempre facili da determinare. Le persone sono avvicinate allo sviluppo dell'osteocondrosi da uno stile di vita sedentario, così comune oggi, dall'eccesso di peso, da cattive abitudini (in particolare dal fumo), da una cattiva alimentazione, dai piedi piatti, da un'attività fisica pesante e da una cattiva postura. Le lesioni alla colonna vertebrale possono contribuire alla comparsa dell'osteocondrosi e possono anche svilupparsi attraverso una predisposizione genetica. Disturbi metabolici, infezioni, anomalie congenite e cambiamenti legati all'età sono cause comuni dello sviluppo di questa malattia. Un fatto interessante è la connessione tra lo sviluppo dell'osteocondrosi e le vibrazioni. Ciò riguarda direttamente i conducenti di macchine agricole o gli operatori di macchine.
L'osteocondrosi di oggi non ha gravi limiti di età: si verifica sia negli anziani che nei giovani. C'è un'opinione secondo cui lo sviluppo dell'osteocondrosi è associato ai depositi di sale, ma non è del tutto giusto. I depositi di sale sono più probabilmente una conseguenza dell'osteocondrosi. La causa del dolore nell'osteocondrosi è spesso l'irritazione delle radici nervose, chiamata irritazione in medicina. Disturbi vascolari sullo sfondo dell'osteocondrosi si sviluppano a causa della ridotta innervazione del sistema vasomotore.
Sintomi dell'osteocondrosi

Il sintomo più evidente dell'osteocondrosi è il dolore e il disagio. Il dolore non è sempre costante; può periodicamente peggiorare e poi regredire. Questi sintomi sono spesso accompagnati da intorpidimento degli arti. Nella maggior parte dei casi, il dolore si irradia al lato sinistro del corpo. Se noti i sintomi di questa malattia in te stesso, affrettati a consultare uno specialista: un terapista o un neurologo. Rilevare l'osteocondrosi in una fase precoce migliorerà l'efficacia del suo trattamento.
Con l'osteocondrosi, i pazienti spesso lamentano un aumento dell'affaticamento. Una caratteristica interessante, a prima vista non è chiaro come sia correlata a questa malattia, è la freddezza degli arti. Mal di testa e sensazione di vertigini spesso accompagnano l'osteocondrosi. Una caratteristica della malattia è anche l'elevato affaticamento degli occhi e persino la diminuzione della vista. Con l'osteocondrosi della regione lombosacrale, i pazienti possono avere problemi con il sistema riproduttivo. È importante che le donne sappiano che l'osteocondrosi può interferire con il normale corso della gravidanza e del concepimento stesso. Ogni tipo di osteocondrosi ha i suoi segni caratteristici. Pertanto, con il tipo cervicale della malattia, si osservano segni sotto forma di mal di testa (soprattutto quando si muove la testa), vertigini quando si gira la testa, ridotta sensibilità dell'area interessata, dolore al collo, scapola, braccia e petto. Un sintomo interessante e non particolarmente piacevole dell'osteocondrosi cervicale è la ridotta mobilità della lingua. Il tipo toracico di osteocondrosi è raro ed è caratterizzato da dolore al petto, soprattutto durante la respirazione. Il dolore può irradiarsi allo stomaco, al cuore e al fegato. Questo tipo è caratterizzato anche da intorpidimento, solo ora nella zona del torace. Con la patologia lombosacrale, i pazienti spesso lamentano dolore che si irradia alle gambe. Un altro sintomo di questo tipo di osteocondrosi è la paresi degli arti inferiori.
Metodi per diagnosticare l'osteocondrosi

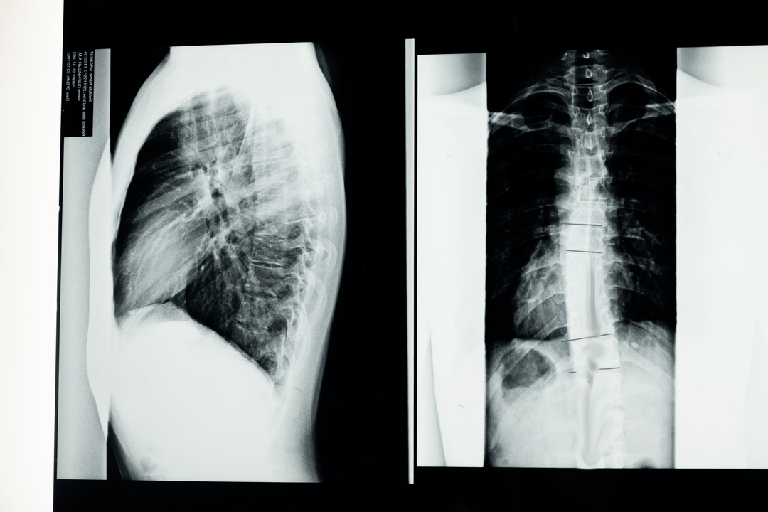
Prima di iniziare gli studi diagnostici, il neurologo raccoglie la storia medica del paziente e studia attentamente i suoi disturbi. L'osteocondrosi presenta sintomi comuni ad alcune altre malattie, quindi è importante essere in grado di differenziare le patologie. Gli studi a raggi X aiuteranno a confermare la diagnosi di osteocondrosi: radiografia, mielografia e tomografia computerizzata.
Una radiografia di rilievo permette di ottenere un'immagine radiografica della colonna vertebrale o di una sua sezione. In questo modo, il medico può determinare la sede interessata dalla malattia. Per chiarezza spiegheremo come si può determinare l'osteocondrosi mediante raggi X: l'immagine mostrerà un restringimento del disco intervertebrale, la presenza di escrescenze ossee (osteofiti) o un cambiamento nella forma del segmento spinale.
L’esame mielografico è più complesso dell’esame radiografico. Ciò è dovuto ad alcune manipolazioni che i medici devono eseguire durante la mielografia: il liquido di contrasto viene iniettato nel canale del midollo spinale. Ciò può rappresentare un pericolo per il paziente: in primo luogo, può svilupparsi una reazione allergica alla sostanza iniettata e, in secondo luogo, se la puntura non ha successo, il midollo spinale può essere danneggiato. Nonostante ciò, la mielografia eseguita correttamente consente agli specialisti di visualizzare la struttura interna del canale del midollo spinale. Questo metodo è particolarmente importante per diagnosticare l'ernia spinale.
La TC (tomografia computerizzata) e la risonanza magnetica (risonanza magnetica) sono i metodi più efficaci e moderni per differenziare l'osteocondrosi e le malattie della colonna vertebrale con sintomi simili.
Trattamento dell'osteocondrosi

Il trattamento dell'osteocondrosi viene effettuato in modo completo. Questa terapia funziona per eliminare la sindrome principale e le cause della malattia. Per combattere l'osteocondrosi, i medici utilizzano l'agopuntura, il trattamento con il vuoto, la terapia manuale, il trattamento laser, la trazione, la stimolazione elettrica, la puntura farmacologica e magnetica. Il compito principale per ottenere un trattamento efficace è il rilevamento tempestivo della malattia. Le persone che si trovano ad affrontare questa grave malattia sono preoccupate per la domanda principale: è possibile curare l'osteocondrosi? La risposta dipenderà dalla forma e dal grado dell'osteocondrosi. Se il trattamento della malattia viene avviato nella prima fase, puoi eliminare l'osteocondrosi per sempre.
Per trattare l'osteocondrosi, i medici usano metodi medicinali e non medicinali. Tra i farmaci utilizzati nel trattamento dell'osteocondrosi, vale la pena evidenziare:
- Farmaci antinfiammatori non steroidei. Aiutano ad eliminare il dolore e l'infiammazione. I FANS possono essere prescritti per uso topico sotto forma di unguenti e gel.
- Blocchi di novocaina. Affrontano efficacemente il dolore.
- Farmaci steroidei. Sono prescritti sotto forma di iniezioni epidurali e intramuscolari.
- Rilassanti muscolari. Tali rimedi aiutano il paziente a combattere gli spasmi muscolari.
- Vitamine B1, B6 e B12. Aiuteranno a migliorare i processi metabolici necessari per la salute della colonna vertebrale.
Gli esempi di trattamenti non farmacologici sono vari, interessanti e divertenti. Quanto segue ti aiuterà a far fronte alle manifestazioni dell'osteocondrosi senza farmaci:
- terapia fisica;
- fisioterapia;
- massaggio;
- terapia manuale;
- trazione;
- riflessologia.
Diamo un'occhiata a questi metodi di trattamento in modo più dettagliato. La terapia fisica in caso di osteocondrosi è una selezione di esercizi fisici per eliminare la compressione delle radici nervose, correggere la postura e rafforzare il corsetto muscolare. La terapia fisica aiuta a prevenire lo sviluppo di complicanze dell'osteocondrosi. Tale attività fisica aiuta a ridurre il carico direttamente sulla colonna vertebrale e migliora anche l'afflusso di sangue.
Le procedure fisioterapeutiche sono prescritte ai pazienti con osteocondrosi per eliminare il dolore e l'infiammazione. L'elettroforesi, gli ultrasuoni, il laser e il trattamento con magneti funzionano efficacemente in quest'area. Il massaggio stimola la circolazione sanguigna e allevia la tensione muscolare. Non solo il massaggio terapeutico aiuta ad eliminare il dolore, ma anche la terapia manuale. Inoltre, aiuta a ripristinare la mobilità delle vertebre e la corretta postura.

Trazione... che cos'è? Sotto questo, a prima vista, la parola incomprensibile nasconde un significato semplice: "estensione". Il desiderio di allungare la colonna vertebrale è probabilmente familiare a tutte le persone che soffrono di osteocondrosi. Nella medicina odierna esistono dispositivi speciali che consentono di farlo. Questa procedura consente di eliminare il dolore e aumentare lo spazio intervertebrale.
Un altro metodo interessante di trattamento non farmacologico dell'osteocondrosi è la riflessologia. È strettamente correlato all'agopuntura, poiché implica l'influenza sui punti riflessogeni del corpo umano.
La migliore cura per l'osteocondrosi
Un rimedio ideale per l'osteocondrosi dovrebbe eliminare il dolore e l'infiammazione, migliorare la circolazione sanguigna, ripristinare la mobilità della cartilagine e delle articolazioni e anche ridurre la depressione nel paziente. Un complesso di farmaci ben scelti affronta tutti questi compiti. In questa parte dell’articolo analizzeremo nel dettaglio tutti questi farmaci.
Farmaci antinfiammatori non steroidei, o FANS, per l'osteocondrosi

I FANS aiutano un paziente affetto da osteocondrosi a superare il dolore, l'infiammazione e il gonfiore. Questi farmaci possono essere prodotti sia per uso esterno locale sotto forma di unguenti e gel, sia per uso interno sotto forma di compresse e soluzioni iniettabili. I farmaci antinfiammatori non steroidei possono appartenere a diversi gruppi:
- Un gruppo di farmaci con il principio attivo diclofenac. Questi farmaci potenziano l’effetto analgesico di altri antidolorifici e riducono l’infiammazione. Lo svantaggio di questo gruppo è l'impossibilità del loro utilizzo durante la gravidanza e l'allattamento.
- A differenza dei farmaci precedenti, i farmaci del gruppo dell'ibuprofene sono approvati per l'uso da parte di donne in gravidanza e in allattamento sotto la supervisione di un medico. La sostanza è ben tollerata e può quindi essere prescritta ai bambini.
- Il gruppo di farmaci Ketoprofene ha un effetto analgesico accelerato.
- I FANS di nuova generazione includono il gruppo Nimesulide. Hanno effetti collaterali minimi.
Vasodilatatori per l'osteocondrosi
Il restringimento dei vasi sanguigni nell'osteocondrosi si osserva in relazione al dolore e allo sforzo muscolare. Di conseguenza, si verifica una carenza di ossigeno nei tessuti danneggiati e, di conseguenza, la funzionalità degli organi interni viene interrotta. Per evitare tali complicazioni, i medici prescrivono farmaci vasodilatatori ai loro pazienti.
Rilassanti muscolari per l'osteocondrosi
I miorilassanti rilassano i muscoli e hanno un effetto calmante. Ciò ha un effetto benefico sul flusso sanguigno e aiuta l'effetto analgesico dei farmaci antinfiammatori non steroidei. I rilassanti muscolari aiutano anche ad accelerare il processo di riparazione dei tessuti danneggiati.
Condroprotettori per l'osteocondrosi
Condroprotettori e complessi vitaminici aiutano a ripristinare il tessuto cartilagineo. I condroprotettori sono intesi come agenti che ripristinano non solo il tessuto cartilagineo, ma anche la mobilità dell'articolazione. Tra i farmaci degni di nota di questo gruppo ci sono quelli a base di condroitina e glucosamina.
Sedativi per l'osteocondrosi
Sembrerebbe, perché assumere sedativi nel trattamento dell'osteocondrosi? La risposta non è così complicata come si potrebbe pensare: una sindrome dolorosa che tormenta una persona per un lungo periodo di tempo può facilmente provocare depressione e stress frequente. Nella maggior parte dei casi sarà sufficiente assumere la tintura di valeriana o di erba madre.
Il medico curante deve selezionare i farmaci per il trattamento di una malattia così grave come l'osteocondrosi.
Corsetto per osteocondrosi

Nel complesso trattamento dell'osteocondrosi di qualsiasi tipo, i medici ritengono utile indossare un corsetto. I corsetti sono realizzati appositamente separatamente per le regioni cervicale, toracica e lombare o per la fissazione completa della colonna vertebrale. Per l'osteocondrosi toracica vengono utilizzati corsetti realizzati in uno speciale materiale elasticizzato con stecche di metallo o plastica all'interno. Per l'osteocondrosi lombare vengono utilizzati corsetti con inserti rigidi trasversali e longitudinali in metallo o plastica. Il materiale utilizzato per la produzione è il nastro per bende o il neoprene. Un corsetto per il collo si chiama colletto ed è rigido. I corsetti che fissano l'intera colonna vertebrale sono anche chiamati correttori di postura. I corsetti sono disponibili in morbido, medio e duro. Il grado di rigidità del corsetto è prescritto dal medico curante su base individuale.
Indossare un corsetto per l'osteocondrosi aiuterà a rafforzare i muscoli della schiena, ridurre il dolore, migliorare la postura, prevenire lo sviluppo di complicanze e accelerare il recupero. Ci sono alcune regole quando si tratta di indossare un corsetto. I pazienti con osteocondrosi dovrebbero assolutamente consultare uno specialista per quanto riguarda la selezione e la necessità di utilizzare un corsetto. Per la prima volta, il corsetto viene indossato per non più di 15 minuti, quindi puoi indossarlo non più di 6 ore al giorno.
Prevenzione dell'osteocondrosi
La prevenzione è di grande importanza per mantenere la salute della colonna vertebrale e prevenire le esacerbazioni dell'osteocondrosi. Per la prevenzione è necessario condurre uno stile di vita sano e attivo, fare esercizi e combattere l'eventuale eccesso di peso. Lo stress e lo shock nervoso possono anche causare lo sviluppo dell'osteocondrosi. Pertanto, è importante monitorare la propria stabilità mentale ed evitare situazioni stressanti. Le lesioni una volta subite possono eventualmente rispondere in modo negativo, quindi è necessario evitarle fin dall'infanzia. Una corretta alimentazione per l'osteocondrosi e per la sua prevenzione è di particolare importanza.
Dieta per l'osteocondrosi

Alcuni esperti parlano dell’importante ruolo della nutrizione per la salute della colonna vertebrale. I prodotti consumati da una persona devono fornirgli sostanze che sintetizzano il tessuto cartilagineo. Stiamo parlando dei mucopolisaccaridi contenuti nella gelatina, nella carne in gelatina e nella gelatina. È importante monitorare l'assunzione sufficiente di liquidi, poiché la sua mancanza porta alla disidratazione dei dischi intervertebrali. Le proteine sono utili in una dieta normale e soprattutto in presenza di osteocondrosi. Queste sostanze possono essere ottenute da carne, noci, pesce, fagioli e melanzane.
Minerali e vitamine rafforzano il tessuto osseo. Quindi, possiamo ottenere il calcio da formaggi a pasta dura, latticini, fagioli e lattuga. È importante ricordare che la vitamina D, contenuta nelle uova, nel burro e nel pesce di mare, è necessaria per l'assorbimento del calcio. Il magnesio aiuta a trattenere il calcio nel tessuto osseo e impedisce che venga eliminato dal corpo. Il magnesio può essere ottenuto mangiando cetrioli, noci e semi di girasole. Molte persone conoscono il contenuto di fosforo nel pesce, ma il fatto che questo elemento sia incluso anche nella composizione di piselli, soia, crusca e cavolo bianco è un fatto meno noto. Le fonti di manganese includono carne di pollo, tuorli, ricotta, bucce di patate e banane.
Tra le vitamine è da sottolineare il ruolo speciale dei gruppi A, B e C. Fonti di vitamina A sono le uova crude, il fegato, le carote e il melone. Maiale, manzo, frutti di mare, funghi e cereali contengono vitamine del gruppo B. L'acido ascorbico, a noi familiare fin dall'infanzia, si trova nella frutta e nella verdura fresca.
Quindi, se consideriamo i prodotti inclusi nella dieta per l'osteocondrosi o per la sua prevenzione, vedremo che da questo elenco possiamo creare un menu di piatti molto gustosi e vari.
Ora diamo un'occhiata ai prodotti vietati. La lista nera dei prodotti per l'osteocondrosi comprende: sale, sottaceti e marinate, spezie piccanti, alimenti trasformati, zucchero (può essere sostituito con miele), soda e caffè.
Complicanze dell'osteocondrosi

L’osteocondrosi, se non adeguatamente trattata, può portare il paziente alla disabilità. Le complicanze di questa patologia includono:
- Stenosi del midollo spinale dovuta al restringimento del suo canale. Ciò provoca intorpidimento degli arti e problemi di deambulazione.
- Nervi spinali schiacciati.
- Protrusione del disco e successivamente ernia intervertebrale.
- Radicolite.
- Lombalgia e sciatica.
- Distonia vegetativa-vascolare.
- L'ernia di Schmorl.
- Spostamento vertebrale.
- Emicrania e mal di testa.
Con l'osteocondrosi del rachide cervicale si osserva spesso un aumento della pressione sanguigna.
Se hai lamentele sulla salute della colonna vertebrale, affrettati a chiedere aiuto a un medico, perché un trattamento tempestivo è la chiave per un recupero di successo.



















